Oncoscience

Necrotizing fasciitis of the head and neck – clinical features, diagnostics, and management strategies
background image

219

www.oncoscience.us

Oncoscience

www.oncoscience.us

 

Oncoscience, Volume 12, 2025

Research Perspective 

Necrotizing fasciitis of the head and neck – clinical features, 

diagnostics, and management strategies

Anna Aydin

1

, Lawik Revend

2

, Doha Revend

3

, Oliver Schuck

1

 and Florian Dudde

1

1

Department of Oral and Maxillofacial Surgery, Army Hospital Hamburg, Hamburg, Germany

2

Department of Plastic Surgery, Army Hospital Berlin, Berlin, Germany

3

Department of Otolaryngology, Head and Neck Surgery, Army Hospital Berlin, Berlin, Germany

Correspondence to

: Florian Dudde, 

email

: [email protected]

Keywords

: necrotizing fasciitis; cervicofacial infection; surgical emergency; debridement; airway management

Received

: June 11, 2025 

Accepted

: December 12, 2025 

Published

: December 23, 2025

Copyright:

 © 2025 Aydin et al. This is an open access article distributed under the terms of the 

Creative Commons Attribution License

 

(CC BY 4.0), which permits unrestricted use, distribution, and reproduction in any medium, provided the original author and source are 

credited.

ABSTRACT

Background: Necrotizing fasciitis (NF) of the head and neck is a rare but rapidly 

progressive and life-threatening soft tissue infection that constitutes a true surgical 
emergency. Due to the complex anatomy of the cervicofacial region and the proximity 
to the upper airway, early diagnosis and management are particularly challenging, 
and delayed recognition is associated with high morbidity and mortality. This article 
aims to provide a concise and clinically oriented overview of the presentation, 
diagnostic pitfalls, and current management strategies for cervicofacial necrotizing 
fasciitis.

Methods: A narrative review of the available literature was conducted and 

complemented by clinical experience from a tertiary referral center. Key aspects 

including  etiology,  risk  factors,  clinical  features,  imaging  findings,  laboratory 

parameters, microbiology, surgical management, airway control, and adjunctive 
therapies were synthesized and critically discussed.

Results: Cervicofacial NF often presents with disproportionate pain, rapidly 

progressive swelling, and early systemic toxicity. Odontogenic infections represent 
the most common source, frequently in the presence of systemic comorbidities 
such as diabetes mellitus or immunosuppression. Contrast-enhanced computed 
tomography is the imaging modality of choice, whereas laboratory scoring systems 
such as the LRINEC score show limited sensitivity in head and neck infections. 
The cornerstone of treatment is immediate and aggressive surgical debridement 
combined with broad-spectrum intravenous antibiotics, early airway protection, and 
intensive care support. Repeated surgical interventions are frequently required. The 
role of adjunctive hyperbaric oxygen therapy remains controversial and cannot be 
routinely recommended based on current evidence.

Conclusion: Necrotizing fasciitis of the head and neck requires a high index 

of suspicion, prompt imaging, and decisive multidisciplinary management. Early 
surgical intervention and airway control are critical determinants of outcome. Given 
the rarity of cervicofacial NF, further multicenter studies and registries are needed to 

refine diagnostic tools, identify prognostic factors, and optimize treatment strategies, 

particularly in high-risk populations such as immunocompromised and oncologic 
patients.

background image

220

Oncoscience

www.oncoscience.us

INTRODUCTION

Necrotizing fasciitis (NF) of the head and neck 

region is a rare but life-threatening soft tissue infection 

characterized by rapidly progressing fascial necrosis, 

systemic toxicity, and high mortality [1, 2]. It represents a 

surgical emergency that requires prompt recognition and 

aggressive multidisciplinary treatment. The condition most 

frequently arises in the lower extremities or abdominal 

wall; cervicofacial manifestations account for fewer than 

5% of cases but are associated with unique diagnostic and 

therapeutic challenges due to the complex anatomy and 

proximity to the upper airway [3, 4].

While the underlying etiology is often odontogenic, 

other sources include pharyngeal or parotid infections, 

trauma, or iatrogenic injury [5–7]. Systemic risk factors 

such as diabetes mellitus, immunosuppression, alcoholism, 

and chronic renal failure are frequently present and 
significantly influence the clinical course and prognosis [8].

CLINICAL PRESENTATION

Patients with cervicofacial NF often present with 

severe pain, swelling, erythema, and crepitus, often 

disproportionate to clinical findings [9]. As the infection 

progresses, cutaneous manifestations such as skin 

discoloration, bullae, or necrosis may appear. Systemic 

signs include fever, tachycardia, hypotension, and signs 

of sepsis [10]. The progression from cellulitis to deep 

fascial involvement can occur within hours. Airway 

compromise is a critical and early concern in head and 

neck NF [6, 11]. Trismus, dysphagia, and dyspnea can 

be early indicators of descending infection and possible 

airway obstruction [4–6, 11]. In many cases, early 

elective intubation or tracheotomy is essential to secure 

the airway.

DIAGNOSTIC STRATEGIES

Early diagnosis is key to reducing mortality. Clinical 

suspicion should be confirmed with contrast-enhanced 

computed tomography (CT), which typically reveals 

fascial thickening, gas formation, and fluid collections 

along fascial planes [12, 13] (Figures 1 and 2). In some 

cases, magnetic resonance imaging (MRI) may offer 

higher soft tissue resolution, but its availability and speed 

are limiting factors in the acute setting [14]. Laboratory 

findings typically include elevated white blood cell 

counts, C-reactive protein (CRP), creatine kinase (CK), 

and lactate levels [15]. The Laboratory Risk Indicator 

for Necrotizing Fasciitis (LRINEC) score has been 

proposed as a diagnostic aid but has limited sensitivity 

in cervicofacial cases [16]. Several factors contribute 

to the reduced diagnostic utility of LRINEC in the head 

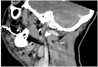
Figure 1: Sagittal CT imaging in cervicofacial necrotizing fasciitis. 

Sagittal contrast-enhanced computed tomography (CT) 

scan of the neck demonstrating hallmark features of cervicofacial necrotizing fasciitis, including subcutaneous emphysema, diffuse fascial 

thickening, and fluid tracking along the deep cervical spaces. The sagittal plane highlights the craniocaudal spread of infection and illustrates 

the rapid progression along anatomical compartments.

background image

221

Oncoscience

www.oncoscience.us

and neck region. First, gas-forming organisms, such as 

Clostridium

 spp., are less commonly involved in CNF 

than in infections of the trunk or limbs, which lowers 

the incidence of radiologically visible emphysema and 

correlating inflammatory patterns. Second, smaller 

anatomical compartments in the head and neck region 

may limit the extent of tissue destruction and systemic 

inflammatory response, particularly in the early stages—

resulting in lower CRP, WBC, or creatinine values and 

thus underestimating LRINEC scores.

Moreover, overlapping laboratory profiles with 

deep neck abscesses, peritonsillar infections, or even 

severe pharyngitis can further reduce specificity. Thus, 

LRINEC should not be solely relied upon in the evaluation 

of suspected cervicofacial necrotizing infections. Instead, 

clinical vigilance and early imaging (CT or MRI) remain 

the cornerstone of timely diagnosis in locating the CNF 

in the head and neck region. Microbiological cultures 

from blood and wound samples often yield polymicrobial 

growth, including aerobic and anaerobic organisms. 

Group A Streptococcus (GAS) and Staphylococcus 

aureus (including MRSA) are common pathogens [17]. 

However, odontogenic NF is frequently polymicrobial 

with contributions from oral anaerobes such as Prevotella 

and Fusobacterium species [17, 18].

DIFFERENTIAL DIAGNOSIS AND 

CLINICAL DISTINCTION

In its early stages, cervicofacial necrotizing fasciitis 

(CNF) may be difficult to distinguish from other deep 

neck infections. Common differential diagnoses include 

cellulitis, peritonsillar or parapharyngeal abscesses, 

Ludwig’s angina, and infected lymphadenopathy [17, 18]. 

These entities often present with swelling, erythema, and 

pain, but lack the rapid progression, skin changes (e.g., 

bullae, necrosis), crepitus, or systemic toxicity seen in 

NF [9–11]. Imaging plays a crucial role in differentiation. 

While cellulitis typically shows soft tissue edema without 

gas formation or fascial plane involvement, necrotizing 

fasciitis is characterized by subcutaneous emphysema, 

fluid tracking along fascial planes, and lack of tissue 

enhancement. A high index of suspicion, combined with 

early CT evaluation, remains critical for distinguishing NF 

from its mimics.

MANAGEMENT

The cornerstone of NF treatment is early and 

aggressive surgical debridement, combined with broad-

spectrum intravenous antibiotics and intensive supportive 

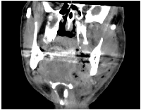
Figure 2: Contrast-enhanced CT scan demonstrating hallmark features of cervicofacial necrotizing fasciitis. 

Coronal 

contrast-enhanced computed tomography (CT) image of a patient with cervicofacial necrotizing fasciitis, illustrating characteristic 

radiologic features including diffuse fascial thickening, gas formation in the subcutaneous and deep cervical spaces, and fluid collections 

extending along fascial planes.

background image

222

Oncoscience

www.oncoscience.us

care [19, 20]. Table 1 summarizes the key diagnostic tools 

and therapeutic approaches currently recommended for 

cervicofacial NF (Table 1). Empiric antibiotic regimens 

should cover gram-positive, gram-negative, and anaerobic 

organisms, often including a combination of piperacillin/

tazobactam plus clindamycin, as well as carbapenems 

or third-generation cephalosporins plus Metronidazole 

[19]. Antimicrobial regimens are later adjusted based on 

culture sensitivities. In many cases, repeated debridement 

is necessary within 24–48 hours [20, 21]. The surgical 

approach must be extensive and not limited to visible 

necrosis, often requiring dissection along fascial planes 

and removal of all non-viable tissue. Cervical incisions, 

mandibular release, and drainage of mediastinal extensions 

(if present) may be required [6]. Airway management 

is central to therapy [6, 22]. Elective tracheostomy is 

preferred in many cases due to anticipated prolonged 

airway compromise and the need for repeated surgeries 

[6]. Involvement of anesthesiologists and intensive care 

teams is essential early on. Hyperbaric oxygen therapy 

(HBOT) has been proposed as an adjunct treatment, 

particularly in cases of anaerobic infection and extensive 

tissue involvement, though high-level evidence for 

improved outcomes is limited [23]. However, the use of 

HBOT in NF remains controversial. While the theoretical 

benefits include enhanced oxygenation of hypoxic tissues, 

suppression of anaerobic bacteria, and improved leukocyte 

function, the clinical evidence is inconsistent, particularly 

in cervicofacial cases. A recent systematic review by 

Huang et al. concluded that while HBOT may reduce 

mortality and the number of debridements in selected 

cases, the heterogeneity of study designs, small sample 

sizes, and absence of randomized trials limit the strength 

of these conclusions [23]. Moreover, most available data 

pertain to extremity or truncal infections, with limited 

generalizability to head and neck NF. 

A recent systematic review by Tseros et al. (2023) 

analyzed 161 published cases of cervical necrotizing 

fasciitis (CNF) treated with HBOT and found a mortality 

rate of 7.6%, which is significantly lower than the 13.4% 

reported in an earlier review of CNF cases irrespective 

of HBOT use [24]. The authors concluded that HBOT 

may reduce mortality and complications in selected 

patients. However, the study also highlighted substantial 

limitations, including the absence of randomized 

controlled trials, heterogeneity of diagnostic criteria, small 

patient numbers, and a potential publication bias favoring 

positive outcomes. Moreover, most deaths occurred in 

patients with purely aerobic infections, suggesting that 

HBOT may be more effective in infections involving 

anaerobes. From a practical standpoint, access to HBOT 

is often restricted to specialized centers, and delays 

associated with transfer may offset potential benefits. 

Adverse effects such as barotrauma, oxygen toxicity, 

and logistic barriers must also be considered. Given 

these constraints, routine use of HBOT in cervicofacial 

NF cannot currently be recommended, but may be 

considered on a case-by-case basis—particularly in 

extensive anaerobic infections and when early surgical 

and antibiotic management is ensured.

OUTCOME AND FOLLOW UP

Despite advances in supportive care, mortality rates 

in cervicofacial NF remain between 10 % and 30% [25]. 

Factors associated with poor prognosis include delayed 

surgical intervention, age >60 years, diabetes, renal 

insufficiency, and septic shock on admission [26, 27]. 

Functional and aesthetic sequelae are common and 

require reconstructive planning after infection control 

[28]. Long-term follow-up focuses on wound healing, 

scar contracture management, and restoration of oral 

Table 1: Diagnostic and therapeutic overview in cervicofacial necrotizing fasciitis

Aspect

Modality/Approach

Remarks

Surgical Timing

Immediate radical debridement 

Key prognostic determinant 

Empiric Antibiotic 

Therapy

Piperacillin/tazobactam + clindamycin; 

imipenem/meropenem/ertapenem + 

clindamycin; ceftriaxone + metronidazole + 

clindamycin 

Broad-spectrum coverage including anaerobes 

 

Adjusted per culture sensitivity 

Narrowed once pathogen(s) identified 

Initial Imaging

Contrast-enhanced computed tomography 

(CT) 

Rapid, widely available; detects gas, fascial 

thickening, fluid collections 

 

Magnetic resonance imaging (MRI) 

Superior soft tissue contrast, but slower and less 

accessible in emergencies 

Laboratory Tools

CRP, WBC, CK, Lactate 

Elevated in most cases, but nonspecific 

 

LRINEC Score 

Limited sensitivity in head and neck infections 

Adjunctive Measures

Hyperbaric oxygen therapy (HBOT) 

Controversial; may aid tissue salvage in selected 

cases 

background image

223

Oncoscience

www.oncoscience.us

functions [6, 28]. Psychological support is often necessary 

due to the traumatic nature of the disease and potential 

disfigurement.

IMPLICATIONS FOR ONCOLOGY 

PATIENTS AND FUTURE DIRECTIONS 

While NF is classically associated with metabolic 

disorders such as diabetes or trauma, cancer patients 

constitute a particularly vulnerable population. 

Immunosuppression due to chemotherapy, neutropenia, 

and radiotherapy-induced soft tissue changes are well-

documented risk factors for soft tissue infections and may 

facilitate the rapid progression of necrotizing infections. 

Furthermore, head and neck cancer patients often present 

with anatomical alterations, impaired wound healing, or 

colonization with resistant flora, all of which complicate 

diagnosis and treatment. In our clinical experience, 

oncologic patients with cervicofacial NF frequently 

present atypically, and symptoms may be misattributed 

to tumor progression or treatment side effects. This 

underscores the need for heightened clinical vigilance and 

low threshold for imaging in this subgroup. 

Importantly, there is a paucity of data addressing the 

outcomes of NF in cancer patients. We propose that future 

multicenter studies stratify NF patients by oncologic 

status to determine differential prognostic factors and 

treatment responses. Additionally, the development of 

early warning systems or biomarkers tailored to the 

immunocompromised host may improve early recognition 

and intervention. Given these considerations, cervicofacial 

NF should be recognized not only as a surgical emergency 

but also as a potential complication in oncologic care. 

Enhanced awareness among head and neck oncologists, 

radiation therapists, and oral surgeons is vital to ensure 

prompt diagnosis and treatment in this high-risk 

population.

EXPERT OPINION: UNRESOLVED 

CHALLENGES AND RESEARCH 

NEEDS

Despite improved understanding of NF, several 

clinical dilemmas remain unresolved, particularly in 

cervicofacial cases. Based on our experience and review 

of the literature, we identify three major areas of ongoing 

debate and future investigation:

1.   Extent and Timing of Surgical Debridement: While 

early radical surgery is widely accepted as the 

cornerstone of NF management, the optimal extent of 

debridement remains controversial. Involvement of the 

face and neck raises questions of surgical morbidity, 

aesthetic reconstruction, and preservation of function. 

More granular criteria to guide surgical aggressiveness 

in these anatomically complex regions are needed.

2.   Limitations of Diagnostic Scoring Tools: Tools such as 

the LRINEC score are poorly validated in cervicofacial 

NF. Overreliance on such tools may delay surgical 

consultation. Future research should aim to develop 

scoring systems tailored to head and neck anatomy and 

symptomatology, possibly incorporating radiologic 

and molecular markers.

3.   Adjunctive Therapies: The role of hyperbaric oxygen 

therapy (HBOT) remains debated. While theoretically 

beneficial for anaerobic infections and tissue 

oxygenation, high-level evidence from prospective 

studies is lacking. Additionally, the accessibility of 

HBOT is variable, making it an impractical standard 

in many institutions.

CONCLUSION

S

Necrotizing fasciitis of the head and neck is a rare 

but devastating condition. Its successful management 

hinges on early clinical suspicion, prompt imaging, 

aggressive surgical debridement, airway protection, and 

broad-spectrum antibiotics. A multidisciplinary approach 

involving oral and maxillofacial surgeons, intensivists, 

infectious disease specialists, and reconstructive 

surgeons is vital to optimizing patient outcomes. 

Due to its rarity, further multicenter studies and the 

establishment of clinical registries may help better 

define prognostic factors and therapeutic strategies in 

cervicofacial NF.

AUTHOR CONTRIBUTIONS

FD and AA conceptualized the article. AA and 

FD drafted the manuscript. LR, DR, and OS contributed 

to literature review and critical revisions. All authors 

reviewed and approved the final version of the manuscript.

CONFLICTS OF INTEREST

Authors have no conflicts of interest to declare.

FUNDING

No funding was used for this paper.

REFERENCES

1.  Djupesland PG. Necrotizing fascitis of the head and 

neck--report of three cases and review of the literature. 

Acta Otolaryngol Suppl. 2000; 543:186–89. 

https://doi.

org/10.1080/000164800454350

PMID:10909016

2.  Al-Qurayshi Z, Nichols RL, Killackey MT, Kandil 

E. Mortality Risk in Necrotizing Fasciitis: National 

Prevalence, Trend, and Burden. Surg Infect (Larchmt). 

2020; 21:840–52. 

https://doi.org/10.1089/sur.2019.277

PMID:32196411

background image

224

Oncoscience

www.oncoscience.us

  3.  Tso DK, Singh AK. Necrotizing fasciitis of the lower 

extremity: imaging pearls and pitfalls. Br J Radiol. 2018; 

91:20180093. 

https://doi.org/10.1259/bjr.20180093

PMID:29537292

  4.  Chou PY, Hsieh YH, Lin CH. Necrotizing fasciitis of the 

entire head and neck: Literature review and case report. 

Biomed J. 2020; 43:94–98. 

https://doi.org/10.1016/j.

bj.2019.08.002

PMID:32200961

  5.  Gore MR. Odontogenic necrotizing fasciitis: a systematic 

review of the literature. BMC Ear Nose Throat Disord. 

2018; 18:14. 

https://doi.org/10.1186/s12901-018-0059-y

PMID:30127662

 6. Dudde F, Kreibich M, Henkel KO. Cervicofacial 

Necrotizing Fasciitis of Non-Odontogenic Origin. Dtsch 

Arztebl Int. 2024; 121:147. 

https://doi.org/10.3238/arztebl.

m2022.0407

PMID:38864660

 7.  Rajmohan S, Gao C, Rajmohan K, Lai K, Molena E, 

Pitkin L. A parotid abscess out of control resulting in 

craniocervical necrotising fasciitis in the context of diabetes 

mellitus-a case report and review of the literature. Gland 

Surg. 2024; 13:257–64. 

https://doi.org/10.21037/gs-23-365

PMID:38455349

 8.  Keung EZ, Liu X, Nuzhad A, Adams C, Ashley SW, 

Askari R. Immunocompromised status in patients with 

necrotizing soft-tissue infection. JAMA Surg. 2013; 

148:419–26. 

https://doi.org/10.1001/jamasurg.2013.173

PMID:23677405

 9. Misiakos EP, Bagias G, Patapis P, Sotiropoulos D, 

Kanavidis P, Machairas A. Current concepts in the 

management of necrotizing fasciitis. Front Surg. 2014; 1:36. 

https://doi.org/10.3389/fsurg.2014.00036

PMID:25593960

10.  Kiat HJ, En Natalie YH, Fatimah L. Necrotizing Fasciitis: 

How Reliable are the Cutaneous Signs? J Emerg Trauma 

Shock. 2017; 10:205–10. 

https://doi.org/10.4103/JETS.

JETS_42_17

PMID:29097860

11.  Cecchini A, Cox CJ, Cecchini AA, Solanki K, McSharry 

R. Odontogenic Infection Complicated by Cervicofacial 

Necrotizing Fasciitis in a Healthy Young Female. Cureus. 

2021; 13:e16835. 

https://doi.org/10.7759/cureus.16835

PMID:34513425

12.  Ditsios K, Chitas K, Christidis P, Charatsis K, Katsimentzas 

T, Papadopoulos P. Necrotizing Fasciitis of the Upper 

Extremity - A Review. Orthop Rev (Pavia). 2022; 14:35320. 

https://doi.org/10.52965/001c.35320

PMID:36034724

13.  Wei XK, Huo JY, Yang Q, Li J. Early diagnosis of 

necrotizing fasciitis: Imaging techniques and their combined 

application. Int Wound J. 2024; 21:e14379. 

https://doi.

org/10.1111/iwj.14379

PMID:37679292

14.  Ali SZ, Srinivasan S, Peh WC. MRI in necrotizing fasciitis 

of the extremities. Br J Radiol. 2014; 87:20130560. 

https://

doi.org/10.1259/bjr.20130560

PMID:24288403

15.  van Sambeek CHL, van Stigt SF, Brouwers L, Bemelman 

M. Necrotising fasciitis: a ticking time bomb? BMJ Case 

Rep. 2017; 2017:bcr2017221770. 

https://doi.org/10.1136/

bcr-2017-221770

PMID:28978607

16. Bechar J, Sepehripour S, Hardwicke J, Filobbos G. 

Laboratory risk indicator for necrotising fasciitis (LRINEC) 

score for the assessment of early necrotising fasciitis: a 

systematic review of the literature. Ann R Coll Surg Engl. 

2017; 99:341–46. 

https://doi.org/10.1308/rcsann.2017.0053

PMID:28462647

17. Breidung D, Malsagova AT, Loukas A, Billner M, 

Aurnhammer F, Reichert B, Megas IF. Causative Micro-

Organisms in Necrotizing Fasciitis and their Influence 

on Inflammatory Parameters and Clinical Outcome. Surg 

Infect (Larchmt). 2023; 24:46–51. 

https://doi.org/10.1089/

sur.2022.317

PMID:36521174

18.  Brook I, Frazier EH. Clinical and microbiological features 

of necrotizing fasciitis. J Clin Microbiol. 1995; 33:2382–

87. 

https://doi.org/10.1128/jcm.33.9.2382-2387.1995

PMID:7494032

19. Urbina T, Razazi K, Ourghanlian C, Woerther PL, 

Chosidow O, Lepeule R, de Prost N. Antibiotics in 

Necrotizing Soft Tissue Infections. Antibiotics (Basel). 

2021; 10:1104. 

https://doi.org/10.3390/antibiotics10091104

PMID:34572686

20.  Sarani B, Strong M, Pascual J, Schwab CW. Necrotizing 

fasciitis: current concepts and review of the literature. J Am 

Coll Surg. 2009; 208:279–88. 

https://doi.org/10.1016/j.

jamcollsurg.2008.10.032

PMID:19228540

21.  Kobayashi N, Toyama S, Yoshida H, Shiraso S, Kawaguchi 

S. Necrotizing fasciitis wound after debridement could be 

successfully treated with negative-pressure wound therapy 

with instillation and dwelling: A case report. Trauma 

Case Rep. 2023; 48:100957. 

https://doi.org/10.1016/j.

tcr.2023.100957

PMID:37920808

22.  Al-Zahid S, Izadi D, Day CJ, Wilson A, Stone C, Smith 

J. A novel airway management strategy for cervical 

necrotising fasciitis secondary to Bezold’s abscess. Ann R 

Coll Surg Engl. 2019; 101:e23–25. 

https://doi.org/10.1308/

rcsann.2018.0181

PMID:30322284

23.  Huang C, Zhong Y, Yue C, He B, Li Y, Li J. The effect 

of hyperbaric oxygen therapy on the clinical outcomes of 

necrotizing soft tissue infections: a systematic review and 

meta-analysis. World J Emerg Surg. 2023; 18:23. 

https://

doi.org/10.1186/s13017-023-00490-y

PMID:36966323

24.  Tseros E, Reddy R, Ho J, Gunaratne D, Venkatesha V, 

Riffat F. Improvement in mortality with hyperbaric oxygen 

therapy in cervical necrotising fasciitis: a systematic review 

of the literature. Aust J Otolaryngol. 2023; 6:8. 

https://doi.

org/10.21037/ajo-23-5

.

25. Shaikh N, Ummunissa F, Hanssen Y, Al Makki H, 

Shokr HM. Hospital epidemiology of emergent cervical 

necrotizing fasciitis. J Emerg Trauma Shock. 2010; 

3:123–25. 

https://doi.org/10.4103/0974-2700.62108

PMID:20606787

26.  Alahmad MS, El-Menyar A, Abdelrahman H, Abdelrahman 

MA, Aurif F, Shaikh N, Al-Thani H. Time to diagnose and 

time to surgery in patients presenting with necrotizing 

fasciitis: a retrospective analysis. Eur J Trauma Emerg Surg. 

background image

225

Oncoscience

www.oncoscience.us

2025; 51:140. 

https://doi.org/10.1007/s00068-025-02816-8

PMID:40102231

27.  Cheng NC, Tai HC, Chang SC, Chang CH, Lai HS. 

Necrotizing fasciitis in patients with diabetes mellitus: 

clinical characteristics and risk factors for mortality. BMC 

Infect Dis. 2015; 15:417. 

https://doi.org/10.1186/s12879-

015-1144-0

PMID:26463900

28.  Karamitros G, Grant MP, Henry S, Lamaris GA. Managing 

Necrotizing Soft Tissue Infections of the Lower Limb: 

Microsurgical Reconstruction and Hospital Resource 

Demands-A Case Series from a Tertiary Referral Center. 

J Clin Med. 2025; 14:2997. 

https://doi.org/10.3390/

jcm14092997

PMID:40364028


Document Outline